|
(Source INRA) |
|
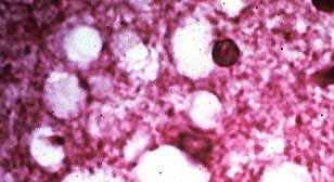
![]() Lésions de spongiose maladie de Creutzfeldt - Jacob (Homme) |
![]() Lésions de spongiose Kuru (Homme) |
![]() Lésions de spongiose Tremblante (Mouton) |
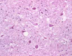
![]() Lésions de spongiose Maladie de la vache folle |